Presso l’ospedale di Eboli è stato eseguito un intervento innovativo e tempestivo per rimuovere un corpo estraneo dal polmone destro in una paziente di 70 anni con gravi difficoltà respiratorie e tosse insistente.
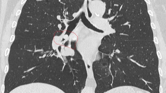
La donna, giunta al Pronto Soccorso con sintomi respiratori ad insorgenza acuta, insorti durante il pranzo, era stata rapidamente presa in carico dal personale dell’Emergenza-Urgenza e sottoposta dalla radiologa di turno, dott.ssa Chiara Ragone, ad esami radiologici, tra cui una TAC toracica.
Da tali esami è emersa un’ostruzione subtotale del bronco inferiore del polmone destro causata da sospetto corpo estraneo.
Prontamente trasferita in sala di Endoscopia Toracica, la paziente è stata sottoposta ad anestesia locale e, tramite videobroncoscopio flessibile, utilizzando una specifica pinza a cestello, le è stato rimosso il corpo estraneo, che è risultato essere un seme di cece che, inalato nelle vie aeree e che si era andato a conficcare nel bronco inferiore del polmone destro della donna, ostruendolo
totalmente.
L’intervento è stato portato felicemente a termine dall’équipe del dott. Damiano Capaccio, in collaborazione con la dott.ssa Alessandra Cotroneo, la capo sala Iolanda Cirillo e l’infermiera Anna Zinna. Un importante lavoro di squadra che ha visto lavorare in perfetta sinergia il personale medico ed infermieristico del Pronto Soccorso, della UOC di Radiologia e l’Equipe di Pneumologia
Interventistica del presidio ospedaliero “Maria Santissima Addolorata” di Eboli. Il dott. Capaccio ha precisato: In questi casi è fondamentale riconoscere con immediatezza i sintomi che il paziente avverte. La tosse insistente e le crisi di dispnea devono guidare alla richiesta di esami di imaging come Radiografia e Tac torace per confermare il sospetto di corpo estraneo”.
“I corpi estranei -ha continuato la dott.ssa Cotroneo - rappresentano emergenze respiratorie soprattutto nei bambini e negli anziani, e possono portare a condizioni gravi fino alla morte. Spesso, come nel caso della paziente, situazioni di occlusione periferica possono passare inosservate e riattivarsi nel tempo, causando polmoniti recidivanti, bronchiectasie, ed altre complicanze su base
infiammatoria”.
L’équipe di Eboli, negli anni vanta una casistica davvero notevole, tra le più numerose della Regione Campania, con oltre 40 corpi estranei estratti dalle vie aeree. La singolarità dell’intervento effettuato ad Eboli consiste nel fatto che la rimozione è avvenuta utilizzando un broncoscopio flessibile in anestesia locale, diversamente dalle linee guida internazionali che suggeriscono
broncoscopia con strumentazione rigida in anestesia generale.
